客户使用生工生物转录组测序发表高分文章啦!影响因子13.251!
今天小编很高兴给大家带来本篇文献的解读,希望给各位科研工作者在研究过程中提供很好的思路,同时也非常感谢文章作者空军军医大学药理学教研室张鹍老师的大力支持。
参考文献:
Zhang K,Yang Q, Yang L, et al. CB1 agonism prolongs therapeutic window for hormonereplacement in ovariectomized mice [J]. J Clin Invest., 2019.

生工生物文献解读——
文献简介

最近的临床研究显示,激素疗法(HT)在改善老年绝经后妇女的学习和记忆方面存在缺陷。然而,失败的原因尚不清楚。研究团队发现,雌二醇(E2)替代治疗改善了OVXST(OVX后1周)小鼠和OVXLT(OVX后3个月)小鼠的恐惧记忆形成,但未能促进OVXLT小鼠中的恐惧记忆消退。高通量测序显示OVXLT小鼠的内侧前额叶皮层(mPFC)中miR-221-5p含量减少。miR-221-5p的减少通过Neurl1a / b泛素-蛋白酶体途径会增加CB1降解。因此,HT与特异性CB1激动剂联合使用可以挽救OVXLT小鼠的记忆消退。研究揭示了长期绝经期女性HT时间窗存在的潜在机制,并提示通过联合使用CB1激动剂可以延长小鼠的HT时间窗,这意味着长期绝经期妇女可能会有HT的新策略。
1. 实验材料
OVXST:卵巢切除1周后小鼠
OVXST+E2:用E2持续处理OVXST小鼠1周(每天一次皮下注射E2(0.1mg / kg))
OVXLT:卵巢切除3个月后小鼠
OVXLT+E2:用E2持续处理OVXLT小鼠1周(每天一次皮下注射E2(0.1mg / kg))
Sham:模拟实验组或假实验组
备注:
1)实验材料为在标准实验条件下饲养的12-15周龄雌鼠C57BL/6J,在戊巴比妥钠(一种催眠药,用于减轻手术痛苦)下对小鼠进行卵巢切除(OVX)。Sham组:以与OVX小鼠相同的地方进行侧切,但不去除卵巢。
2)雌二醇(E2):可缓解因卵巢功能衰竭所引起的各种症状。
2. 测序策略
RNA-seq:Illumina HiSeq 2500 (Sangon Biotech)
Small RNA sequencing:Illumina HiSeq 2500 (Sangon Biotech)
3. 主要实验
抑制性回避实验、恐惧记忆测试、旋转棒实验、高架迷宫、强迫游泳实验、高尔基染色、qPCR、免疫荧光染色、蛋白印迹分析、荧光素酶测定、免疫共沉淀、ELISA、LC-MS / MS分析、p-cFos免疫荧光染色等。
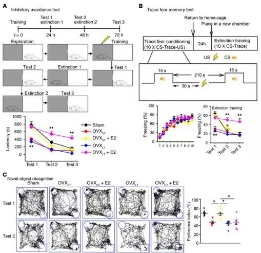
1. 在E2治疗的OVXLT小鼠中其恐惧记忆消退受损

图1
抑制性回避实验(图1A)、恐惧记忆测试(图1B)和新物体识别测试(图1C)结果显示注射E2显著促进OVXST和OVXLT小鼠的情境恐惧记忆形成和OVXST小鼠的恐惧记忆消退; 然而,注射E2的OVXLT小鼠中恐惧记忆消退受损。同时E2替代治疗也特异性地损害了OVXLT小鼠的工作记忆。
2. 在OVXLT小鼠中,E2有助于长期增强,但不能长期抑制

图2
1)E2治疗促进了假手术组,OVXST和OVXLT小鼠的海马和mPFC中θ波刺激诱导的长期增强(LTP)的表达,但它仅促进假实验组和OVXST小鼠中低频刺激诱导的LTD的表达。此外,E2治疗在OVXLT小鼠中损害了长期抑制(LTD)(图2A-F);
2)E2治疗增强了OVXST小鼠的成熟和未成熟树突棘密度,但它仅增加了OVXLT小鼠成熟树突棘密度未能增加未成熟的树突棘密度(图2G、H);
3)E2处理可恢复OVXST和OVXLT小鼠mPFC样本中GluN2A,GluN2B和GluA1的水平(图2I);
在OVXST小鼠中E2处理对CB1水平增加没有明显作用,而CB1水平在E2处理的OVXLT小鼠中则进一步降低(图2I)。
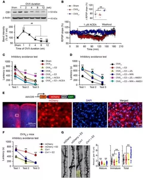
3. 增强CB1活性可挽救E2治疗的OVXLT小鼠的记忆力消退

图3
1)在OVX的前8周,CB1水平在mPFC中逐渐降低(图3A);
2)ACEA(特异性CB1激动剂)可诱导假实验组和OVXST小鼠mPFC切片中的场兴奋性突触后电位(fEPSP)斜率下降,但在OVXLT小鼠中没有(图3B);
3)ACEA和E2组合使用在OVXLT小鼠中可促进记忆形成并挽救记忆力消退(图3C);
4)OVXLT小鼠的记忆消退损伤可被AM251(CB1选择性拮抗剂)阻断(图3D),表明CB1在接受E2治疗的OVXLT小鼠的记忆消退损害中发挥着关键作用;
5)CB1过表达挽救了E2治疗的OVXLT小鼠中的恐惧消退损伤(图3F)和mPFC神经元的树突棘密度增加(图3G)。说明CB1是OVXLT小鼠恐惧记忆消退的重要调节蛋白。
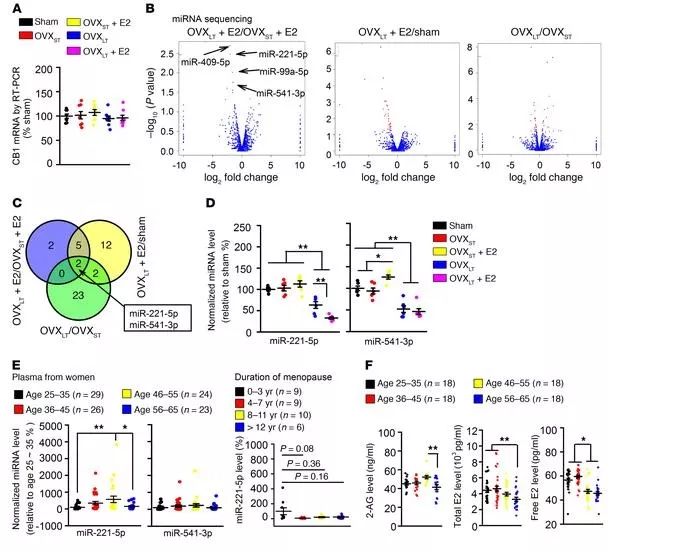
4. E2治疗导致OVXLT小鼠中miR-221-5p减少

图4
1)高通量mRNA测序和 qPCR结果显示CB1 mRNA表达水平没有变化(图4A),表明OVXLT小鼠中CB1水平降低存在转录后调控机制。
2)运用miRNA测序以筛选潜在的靶miRNA,选择在mPFC中不同表达的miRNA作为潜在靶标(图4B);鉴定了2个表达量降低的miRNA:miR-221-5p和miR-541-3p(图4C),qPCR也证实这两个miRNA表达水平在OVXLT和OVXLT+E2小鼠中降低(图4D)。
3)miR-221-5p在56-65岁的女性中较低(图4E)。在56-65岁的女性中,2-AG,总E2、游离E2和E3的水平也较低(图4F和补充图11)。
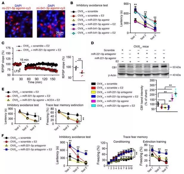
5. miR-221-5p在LTD和恐惧记忆消退中的作用

图5
1)用Cy3标记的miR-221-5p agomir和Cy3标记的miR-541-3p agomir处理小鼠,每周3次(图5A);
2)注射miR-221-5p agomir,而不是注射miR-541-3p agomir,在E2治疗的OVXLT小鼠的mPFC中可挽救恐惧记忆和LTD损伤(图5B和C);3)
3)miR-221-5p agomir增加了E2治疗的OVXLT小鼠的CB1水平,这种作用被miR-221-5p antagomir阻断(图5D)
4)E2和miR-221-5p agomir组合促进了抑制性回避试验和痕量恐惧条件反射中的恐惧记忆消退,添加CB1激动剂ACEA没有进一步的促进作用(图5E)。
5)E2治疗后的OVXST小鼠中,mPFC注射miR-221-5p antagomir损害了恐惧记忆消退,类似于在E2治疗的OVXLT小鼠中观察到的现象(图5F)。说明较低水平的miR-221-5p是E2治疗的OVXLT小鼠中恐惧记忆消退和LTD受损的关键驱动因素。
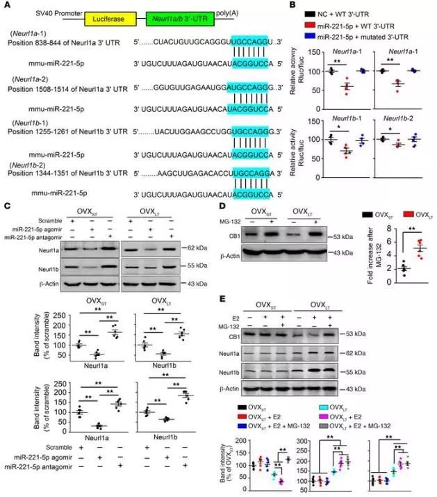
6. miR-221-5p通过Neurl1a / b调节泛素 - 蛋白酶体途径影响CB1的水平。

图6
1)miRNA靶标预测算法并未将CB1预测为miR-221-5p靶标,这表明miR-221-5p间接调节CB1;
2)使用SUnSET检测CB1蛋白质合成,结果显示在假实验组、E2治疗的OVXST和OVXLT小鼠中同样促进了新的CB1的合成,这些结果排除了较低水平的CB1是由于OVXLT小鼠中CB1蛋白质合成减少造成的;
3)GO和KEGG富集分析结果显示:与泛素介导的蛋白酶水解相关的基因可能是miR-221-5p的靶标基因。因此Neurl1a和Neurl1b(2个E3泛素连接酶复合体衔接分子)被认为是目标miRNA的潜在靶标(图6A)。
4)在人HEK293细胞表达含有 Neurl1a和 Neurl1b 3'-UTR结合位点的荧光素酶,结果显示与阴性对照细胞相比,miR-221-5p的处理降低了荧光素酶活性(图6B)。
5) Western实验结果进一步证实miR-221-5p降低了Neurl1a和Neurl1b的水平(图6C),表明miR-221-5p通过泛素-蛋白酶体途径调节CB1。
6)相对于OVXST小鼠,OVXLT小鼠中CB1水平对MG-132(26S蛋白酶体抑制剂)更敏感(图6D);
7)OVXST小鼠中E2诱导的CB1减少可被MG-132显著逆转(图6E)。这些数据表明,E2治疗的OVXLT小鼠中较低水平的CB1是由于CB1泛素化增加导致的。
7. CB1通过Neurl1a / b泛素化途径降解

图7
1)图7A所示,CB1直接与泛素相互作用,与OVXST小鼠相比Neurl1a或Neurl1b在OVXLT的小鼠中增加。E2处理后这种结合进一步增强,这意味着E2增强了OVXLT小鼠中的CB1泛素化。
2)单独敲除Neurl1a或Neurl1b只能略微增加CB1水平,而双重敲低可显著增加CB1水平(图7B)。这表明Neurl1a和Neurl1b之间存在代偿关系;
3)敲除Neurl1a和Neurl1b后,miR-221-5p未能调节CB1水平(图7C)。
4)Neurl1a和Neurl1b的双重敲除挽救了OVXLT小鼠中E2诱导的恐惧记忆消退损伤(图7D),施用ACEA激活CB1并没有增强这种作用,表明两者靶向相同的信号传导途径。这些结果表明miR-221-5p / Neurl1 /泛素途径介导CB1泛素化增强。

1. 文章证明了CB1在接受雌激素治疗的长期雌激素缺乏小鼠的恐惧消退和LTD损伤中的重要性。
2. 高通量测序揭示了miR-221-5p的水平在长期雌激素缺乏小鼠中降低,其靶向E3泛素连接酶Neurl1a和Neurl1b。
3. 较高的E3泛素蛋白连接酶活性Neurl1a和Neurl1b导致CB1过度泛素化,损害了给予雌激素治疗的长期雌激素缺乏的小鼠中的eCB系统(图8)。
4. 过表达miR-221-5p或激活CB1被证明可能在长期绝经后妇女的HT方面具有潜在的作用。
