HepG2、SMMC-7721、Hep3B、Huh-7肝癌细胞系培养合集来袭!
《细胞探险队》旅程更新!继T(Jurkat、CTLL-2、MT-4、HuT-78)、B(Raji、Daudi、Ramos、DB)淋巴细胞系、单核-巨噬细胞系(Raw264.7、THP1、MH-S、J774A.1)、NK细胞系(NK-92、NK-92MI、YT)、成纤维细胞系(3T3-L1、3T6-Swiss albino、NCTC、HFF-1)、神经肿瘤细胞系(SH-SY5Y、SK-N-AS、BT325、SHG-44)、乳腺癌细胞系培养合集(MCF7、T-47D、MDA-MB-231、ZR-75-1)后,这次探索的是肝癌细胞系!紧跟《细胞探险队》,开启细胞培养的奇妙之旅:覆盖上百种细胞系,积累干货经验和技巧,让细胞培养不再难!各位童鞋,如果有想要了解的细胞系或者遇到哪些问题,也欢迎留言~
下期旅程:结肠癌细胞系培养合集(HCT116、HT-29、SW620、LoVo)
NK细胞大师直播课程!带你解锁NK细胞分离、分选、培养、热门研究全流程,还有惊喜礼品等您拿,快扫码报名参与吧~

Hep G2
01
名称
Hep G2(人肝癌细胞)
02
别称
HEP-G2;Hep G2;HEP G2;HepG2
03
简介
该细胞系(HepG2)源于1975年一名15岁阿根廷男性肝癌患者的肿瘤组织。该细胞能产生甲胎蛋白、白蛋白、α2-巨球蛋白等多种蛋白质,且能对人类生长激素的刺激做出反应。
04
种属
人
05
组织来源
肝
06
生长特性
贴壁细胞
07
细胞形态
上皮细胞样
08
应用
药物肝毒性评估、非病毒致肝癌机制探索、代谢性肝病模型构建与机制研究

图片来源于ATCC
09
培养条件
(1)完全培养基配方:MEM(SH30265.01)+ 10% FBS(SV30208.02)+1%双抗(SV30010)
(2)温度:37°C;
(3)气相:5%CO2
10
换液频率
2-3次/周
11
传代周期
3-4天
12
传代比例
1:4-1:6;建议接种密度2.0*10^4-6.0*10^4/ml
13
冻存液配方
95%完全培养基+5%DMSO(abs9187)或商品化细胞冻存液(130-129-552)
14
注意事项
(1) Hep G2细胞生长过慢甚至不生长,可将血清增加至15%-20%(不要超过20%),待细胞恢复生长速度后再将血清比例降低到10%。
(2) Hep G2细胞传代或复苏后有部分细胞漂浮是正常现象。细胞复苏后贴壁时间在24h左右,漂浮细胞较多时,可增加血清比例(不超过20%)促进贴壁。
(3) Hep G2细胞在增殖过程中可能会看到有圆形细胞粘附在贴壁的单层细胞上,属于正常现象,这些细胞可能是尚未完全贴壁或者正处于分裂期的细胞,如果细胞背景干净无细胞碎片,可不用特殊处理。
SMMC-7721
01
名称
SMMC-7721(人肝癌细胞)
02
别称
SMMC7721
03
简介
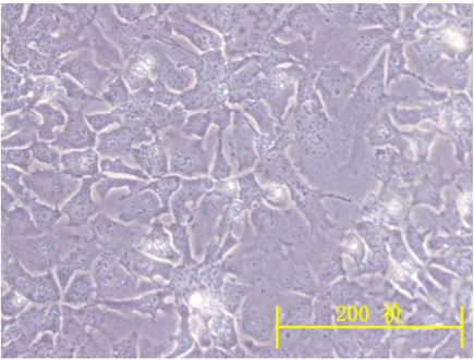
SMMC-7221是从一名50岁男性肝癌患者的手术切除标本中建立的一株人肝癌细胞系。该细胞保留了一些肝癌相关的特征,但不分泌甲胎蛋白(AFP),常用于研究肝癌的增殖、凋亡、侵袭、迁移、血管生成等恶性生物学行为。
04
种属
人
05
组织来源
肝
06
生长特性
贴壁细胞
07
细胞形态
上皮细胞样
08
应用
HBV基因组整合驱动肝癌的机制探索、肝癌侵袭转移机制、肝癌诊断标志物的筛选与预后因子验证

图片来源于参考文献[1]
09
培养条件
(1)完全培养基配方:RPMI-1640(SH30809.01)+10%FBS(SV30208.02)+1%双抗(SV30010)
(2)温度:37°C
(3)CO2:5%CO2
10
换液频率
2-3次/周
11
传代周期
3-4天
12
传代比例
1:3-1:5
13
冻存液配方
90%FBS+10%DMSO(abs9187-100mL)或商品化细胞冻存液(130-129-552)
14
注意事项
(1) 部分SMMC-7721细胞在传代多次或血清诱导下,可能表现出神经元样分化,出现触角状突起。如果实验不需要分化细胞,应注意避免此现象。
(2) SMMC-7721细胞对血清依赖性较高,无血清培养时生长缓慢且易分化,通常不建议无血清培养。若有实验特殊需求,则需额外在无血清培养基中添加生长因子如 EGF、胰岛素。
Hep3B
01
名称
Hep 3B(人肝癌细胞)
02
别称
Hep 3B2_1-7;Hep 3B2 ; Hep-3B
03
简介
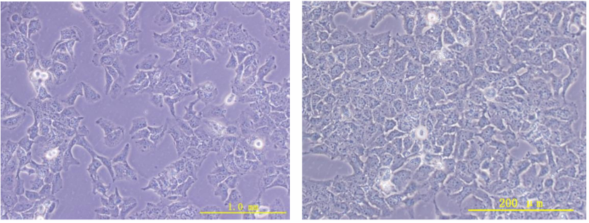
Hep 3B细胞是来自8岁黑人男孩的肝癌肿瘤组织。该细胞的染色体模式数目为60,在裸鼠中能致瘤, 且能产生甲胎蛋白(alpha-fetoprotein)、乙肝表面抗原(BHsAg)、白蛋白、巨球蛋白、α-抗胰蛋白酶(alphal-antitrypsin)、转铁蛋白等,具有广泛的研究价值。
04
种属
人
05
组织来源
肝细胞癌;肝
06
生长特性
贴壁细胞
07
细胞形态
上皮细胞样
08
应用
肝癌相关基因突变功能验证;肝癌转移相关通路研究和体内转移模型构建

图片来源于中国科学院典型培养物保藏委员会细胞库
09
培养条件
(1)完全培养基配方:MEM(含NEAA)(SH30243.01)+10% FBS(SV30208.02)+1%双抗(SV30010)
(2)温度:37°C
(3)培养箱气体:95%空气,5%CO₂
10
换液频率
2-3次/周
11
传代比例
1:4-1:6;建议接种密度5*10^5-8*10^5/ml
12
冻存液配方
95%完全培养基 +5%DMSO(abs9187-100mL)或商品化细胞冻存液(130-129-552)
13
注意事项
(1) Hep3B细胞含有乙型肝炎病毒(HBV),在解冻该细胞时,务必穿着个人防护装备(PPE),必要时使用生物安全柜,避免接触性感染,降低病毒暴露风险。
(2) Hep3B细胞在消化时极易受损,消化时间需严格控制,一般消化到细胞明显回缩、间隙变大但未完全脱落时,加入完全培养基终止消化。若消化过度,可能导致细胞形态异常、生长速度减慢甚至无法继续传代。
(3) Hep3B细胞贴壁能力较弱,因此在遇到运输低温及震荡、室温静置太长时间、添加的培养基或其他试剂过冷等情况时会出现明显的细胞回缩变粗变短的现象,及时放回培养箱静置培养后可恢复正常。
Huh-7
01
名称
Huh-7(人肝癌细胞)
02
别称
HuH-7;Huh7;JTC-39;Japanese Tissue Culture-39
03
简介
Huh-7细胞是从一名 57 岁日本男性肝癌患者的肝肿瘤组织中分离获得,目前用于体外研究丙型肝炎病毒(HCV)和登革热病毒的细胞模型。
04
种属
人
05
组织来源
肝脏、胆囊
06
生长特性
贴壁生长
07
细胞形态
上皮样细胞
08
应用
HCV 病毒学研究及抗肝癌/抗 HCV 药物研发领域研究、聚焦非HBV肝癌发病机制研究、肝癌的基因治疗和免疫治疗

图片来源于中国科学院典型培养物保藏委员会细胞库
09
培养条件
(1)完全培养基配方:DMEM高糖(SH30243.01)+10% FBS(SV30208.02)+1%双抗(SV30010)
(2)温度:37°C
(3)CO₂ :5%
10
换液频率
2-3次/周
11
传代比例
1:2-1:4
12
冻存液配方
90% 完全培养基+10% DMSO(abs9187-100mL)或商品化细胞冻存液(130-129-552)
13
注意事项
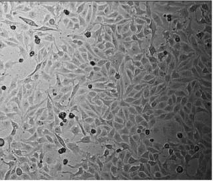
(1)Huh-7细胞有触角/伪足,属于正常现象,无需过度干预。
(2)Huh-7细胞中有黑色颗粒,为细胞器、细胞内囊泡或其他胞内物质,属于细胞自身特性。背景中也有少量黑色颗粒,为细胞碎片。少量碎片不影响细胞生长,若碎片较多,可以吸走培养基后用预热的PBS轻轻润洗1-2遍。
(3)如有特殊实验需求,Huh-7细胞可以进行无血清培养,会在培养基内分泌许多血清蛋白和alpha phyto蛋白。
更多细胞培养方案,可前往【用心呵护细胞宝宝】专栏,更多细胞培问题,可扫码加入优宁维细胞一站式互助Club与我们一起沟通学习~
