《细胞探险队》旅程更新!继T(Jurkat、CTLL-2、MT-4、HuT-78)、B(Raji、Daudi、Ramos、DB)淋巴细胞系、单核-巨噬细胞系(Raw264.7、THP1、MH-S、J774A.1)、NK细胞系(NK-92、NK-92MI、YT)、成纤维细胞系(3T3-L1、3T6-Swiss albino、NCTC、HFF-1)、神经肿瘤细胞系培养合集(SH-SY5Y、SK-N-AS、BT325、SHG-44)、乳腺癌细胞系(MCF7、T-47D、MDA-MB-231、ZR-75-1)的培养合集后,这次探索的是肺癌细胞系!紧跟《细胞探险队》,开启细胞培养的奇妙之旅:覆盖上百种细胞系,积累干货经验和技巧,让细胞培养不再难!各位童鞋,如果有想要了解的细胞系或者遇到哪些问题,也欢迎留言~
下期旅程:肝癌细胞系培养合集(HepG2、SMMC-7721、Hep3B、J5)
B细胞大师课程精彩回放
带你解锁B细胞分离、分选、培养、热门研究全流程,还有惊喜礼品等您拿,快扫码报名参与吧~

A549
01
名称
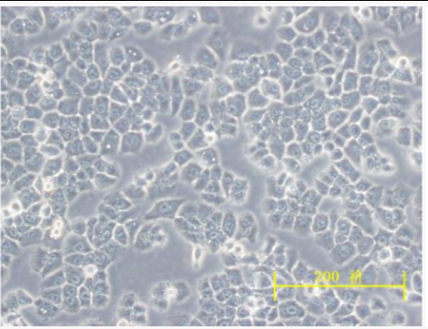
A549(人肺腺癌细胞)
02
别称
A 549;A549;NCI-A549;
03
简介
人非小细胞肺癌细胞 A549 来源于 58 岁的白人男性肺癌组织,由 D.J. Giard 等人建立于 1972 年。其可以通过胞苷二磷酸胆碱途径合成高比例的不饱和脂肪酸卵磷脂。
04
种属
人
05
组织来源
肺
06
生长特性
贴壁细胞
07
细胞形态
上皮细胞样
08
应用
常用于癌症、免疫肿瘤学、毒理学研究和高通量筛选。

图片来源于ATCC
09
培养条件
(1)完全培养基配方:Ham's F-12K(abs9563)+10% FBS(SV30208.02)+1%双抗(SV30010)
(2)温度:37°C;
(3)CO2:5%CO2
10
换液频率
2-3次/周
11
传代周期
3-4天
12
传代比例
1:3-1:6
13
冻存液配方
95%基础培养基+5%DMSO(abs9187)或商品化细胞冻存液(130-129-552)
14
注意事项
(1)A549呈上皮细胞样,多角形,贴壁生长较快,推荐使用F-12K培养基。
(2)细胞培养需维持细胞密度在6×10³ ~ 6×10⁴ 细胞/cm²,勿超过7×10⁴/cm²。
H460
01
名称
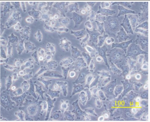
NCI-H460 [H460](人大细胞肺癌细胞)
02
别称
NCI.H460;H460;H-460;
03
简介
由 A.F. Gazdar 于 1982 年建立,来源于一位大细胞肺癌患者的胸腔积液。该细胞与正常肺组织 p53 mRNA 的表达水平相近,角蛋白(keratin)和波形蛋白(vimentin)表达阳性,神经丝三联体蛋白(neurofilament triplet protein)表达阴性。
04
种属
人
05
组织来源
肺;胸腔积液
06
生长特性
贴壁细胞
07
细胞形态
上皮细胞样
08
应用
主要用于大细胞肺癌的化疗药物筛选及肿瘤侵袭转移机制研究。

图片来源于:中国科学院典型培养物保藏委员会细胞库
09
培养条件
(1)完全培养基配方:RPMI-1640(SH30096.FS)+10%FBS(SV30208.02)+1%双抗(SV30010)
(2)温度:37°C
(3)CO2:5%CO2
10
换液频率
2次/周
11
传代周期
3-5天
12
传代比例
1:3-1:8
13
冻存液配方
95%完全培养基+5%DMSO(abs9187-100mL)或商品化细胞冻存液(130-129-552)
14
注意事项
(1)H460细胞较难消化,建议使用T-75瓶加入2-3ml 0.25%胰酶-0.53mM EDTA进行消化。消化时避免摇动,静置5-15分钟,镜检确认细胞脱离;难消化时可利用37°C孵育辅助消化。
H146
01
名称
NCI-H146 [H146](人小细胞肺癌细胞)
02
别称
H146;H-146;NCIH146;
03
简介
该细胞高表达四种生化标记物:神经元特异性烯醇酶(neuron specific enolase)、肌酸激酶的脑同工酶(brain isoenzyme of creatine kinase)、L-DOPA 脱羧酶(L-DOPA decarboxylase)和类蛙皮素免疫活性(bombesin-like immunoreactivity)。
04
种属
人
05
组织来源
肺;来源于转移灶:骨髓
06
生长特性
悬浮细胞
07
细胞形态
聚团生长
08
应用
常用于 3D 细胞培养及癌症免疫学的研究

图片来源于ATCC
09
培养条件
(1)完全培养基配方:RPMI-1640(SH30096.FS)+10%FBS(SV30208.02)
(2)温度:37°C
(3)CO2:5%CO2
10
换液频率
2-3次/周
11
传代比例
1:2-1:3
12
冻存液配方
95%基础培养基+5%DMSO(abs9187-100mL)或商品化细胞冻存液(130-129-552)
13
注意事项
(1) H146细胞通常以大量聚团形式悬浮生长,无需消化,传代仅需稀释或离心。避免聚团过大(>500μm),影响营养吸收。
(2) 细胞培养过程中通常含有大量细胞碎片,属于正常现象,几乎无法完全去除,可在培养液中添加双抗,预防细菌污染。
H838
01
名称
NCI-H838[H838](人非小细胞肺癌细胞)
02
别称
H838;H-838;NCIH838
03
简介
NCI-H838细胞于1984年建系,源于一位59岁患有非小细胞肺癌的白人男性吸烟者,从患者淋巴结转移灶分离而来。
04
种属
人
05
组织来源
肺;源自转移部位:淋巴结
06
生长特性
贴壁生长
07
细胞形态
上皮样细胞
08
应用
常用于肺癌研究体外模型,探索疾病机制、测试抗癌药物疗效及研究肿瘤相关信号通路

图片来源:中国科学院典型培养物保藏委员会细胞库
09
培养条件
(1)完全培养基配方:RPMI-1640(SH30096.FS)+10% FBS(SV30208.02)+1%双抗(SV30010)
(2)温度:37°C
(3)CO₂ :5%
10
换液频率
2-3次/周
11
传代比例
1:3-1:6
12
冻存液配方
95%完全培养基 +5%DMSO(abs9187-100mL)或商品化细胞冻存液(130-129-552)
13
注意事项
(1) 该细胞消化前需用无钙镁DPBS 或 0.25%胰酶-EDTA 冲洗细胞层,有助于细胞消化;如有钙镁离子残留会抑制胰酶活性,导致消化不全。
(2) 该细胞消化过度可能会导致传代后贴壁率下降,酶解消化时间应控制在15min内,终止消化后应立即接种,减少悬浮暴露时间。
更多细胞培养方案,可前往【用心呵护细胞宝宝】专栏,更多细胞培问题,可扫码加入优宁维细胞一站式互助Club与我们一起沟通学习~

参考资料:
ATCC官网
中国科学院典型培养物保藏委员会细胞库
