琼脂糖层析实验二

来自解纤维热酸菌 11B 的嗜热内切葡聚糖酶 AcCel12B 的克隆、表达和表征
琼脂糖层析实验三

人类 IgE 对曼氏血吸虫原肌球蛋白不同剪接变体的反应:与免疫的关联
|
分类 |
层析介质 |
|
|
亲和层析填料 |
Mab A 亲和层析介质 |
|
|
Mab A新一代抗体纯化介质 |
|
|
|
Protein A 4FF 亲和介质 |
|
|
|
Protein G 4FF 亲和介质 |
|
|
|
Ni-IDA 6FF His标签蛋白纯化介质 |
|
|
|
Ni-NTA His标签蛋白纯化介质 |
||
|
Ni-TED 6FF His标签蛋白纯化 |
|
|
|
IMAC 6FF固定化金属离子层析介质 |
|
|
|
Chelating FF |
||
|
GST 标签蛋白纯化介质 |
|
|
|
Protein A/G Agarose |
|
|
|
Benzamidine 4FF(HS) |
|
|
|
MBP FF标签蛋纯化介质 |
|
|
|
Endotoxin Rem 4FFⅠ 内毒素纯化亲和层析介质 |
|
|
|
Endotoxin Rem 4FFⅡ 内毒素纯化亲和层析介质 |
||
|
Streptactin 4FF 标签蛋白纯化介质 |
|
|
|
Streptactin HP 标签蛋白纯化层析介质 |
||
|
Plasmid HP 质粒纯化层析介质 |
|
|
|
Virus 亲和层析介质 |
|
|
|
离子交换填料 |
强阴离子交换层析介质 |
|
|
Q 40 强阴离子交换层析介质 |
||
|
SP/Q Big Beads |
|
|
|
DEAE 40 弱阴离子交换层析介质 |
||
|
DEAE 弱阴离子交换层析介质 |
||
|
强阳离子交换层析介质 |
||
|
DEAE A50 葡聚糖离子交换介质 |
|
|
|
疏水层析填料 |
Phenyl 6FF 疏水层析介质 |
|
|
Octyl 4FF辛疏水层析介质 |
||
|
Butyl 4FF 疏水层析介质 |
||
|
复合模式填料 |
Shell 700 复合模式层析介质 |
|
|
Shell 400 复合模式层析介质 |
||
|
AdMix Ⅰ40 复合模式强阴离子层析介质 |
|
|
|
AdMix Ⅱ 40 复合模式强阴离子层析介质 |
|
|
|
CaSphere-CHT 1 羟基磷灰石层析介质 |
|
|
|
凝胶过滤填料 |
Sup-Dextran75 凝胶过滤层析介质 |
|
|
Sup-Dextran 150 |
|
|
|
Sup-Dextran200 凝胶过滤层析介质 |
|
琼脂糖层析注意事项
参考文章
1. Rita Branco, et al. Identification and characterization of the transcriptional regulator ChrB in the chromate resistance determinant of Ochrobactrum tritici 5bvl1. PLoS One. 2013 Nov 4;8(11):e77987.
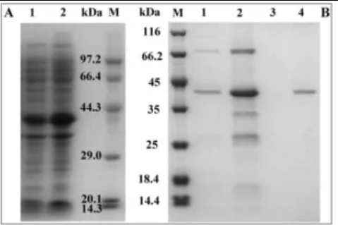
2. Junling Wang, et al. Cloning, Expression, and Characterization of a Thermophilic Endoglucanase, AcCel12B from Acidothermus cellulolyticus 11B. Int J Mol Sci. 2015 Oct 22;16(10):25080-95.
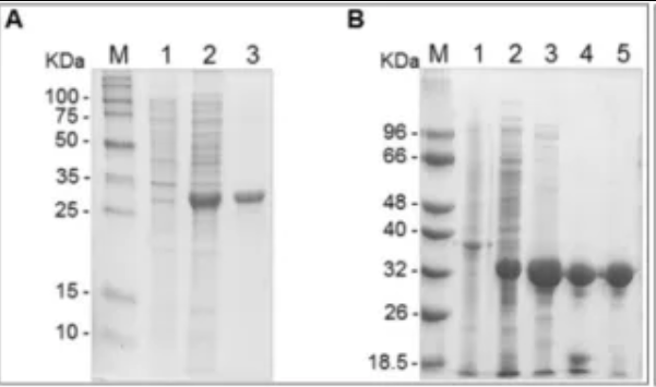
3. Sukrit Silas, et al. Human IgE responses to different splice variants of Schistosoma mansoni tropomyosin: associations with immunity. Int J Parasitol. 2014 May;44(6):381-90.


