皮肤由三个主要组织部分组成。表皮主要由角质形成细胞组成,但也有一群称为朗格汉斯细胞(LCs)的树突状抗原呈递细胞。真皮主要由带血管的胶原结缔组织组成,但也包含许多其他类型的细胞,包括免疫细胞。第三层是脂肪组织或皮下组织。

健康和发炎的皮肤成分。
(a)表皮是由角质形成细胞缓慢分化形成的。在颗粒层角质形成细胞中,可存储抗菌肽(AMPs),包括包括S100A7(psoriasin),S100A8(calgranulin A),S100A9(calgranulin B)、β-防御素、抗菌肽(CAMP/LL-37)和脂钙蛋白2 (LCN2)。随着粒状角质形成细胞向角质细胞过渡,细胞核丢失,形成了一种交联蛋白膜结构,称为角质化膜,在角质化膜之间沉积了许多层中性脂质,形成了一个有效的防水屏障。表皮含有未成熟的抗原呈递细胞-朗格汉斯细胞(LCs),真皮层包含常驻髓样树突细胞(DCs)。尽管皮肤中存在非循环的皮肤淋巴细胞抗原(CLA)+常驻记忆T细胞(Trm细胞),但角质细胞组成性合成CCL27 (CTACK),这是吸引CCR10+ CLA+皮肤归家T细胞进入非炎症皮肤进行免疫监测的主要趋化因子。这些成分维持稳定有效的皮肤免疫状态。
(b)表皮也可以参与先天或适应性免疫反应的触发,如伤害,感染,或细胞因子刺激。皮也可以参与先天或适应性免疫反应的触发,如伤害,感染,或细胞因子刺激。角化细胞可能会在IL-22等细胞因子的作用下增殖,以加速表面角化细胞的损失和消除病原体,增加天然效应分子(如AMPs)的合成,并通过产生趋化因子直接迁移到新的T细胞亚群和其他免疫效应细胞到皮肤。
朗格汉斯细胞(LC)
表皮中含有不成熟抗原呈递细胞的LC。如果这些LC被抗原或细胞因子激活,它们可以迁移到表皮之外,并携带抗原至引流淋巴结以激活T细胞反应。离体实验发现,人皮肤中的LC优先激活Th2和Th22细胞。Seneschal等人将表皮CD1a+ LCs和来自同一供者健康皮肤的T细胞共培养,结果表明LCs能诱导出T细胞(Treg)表型(CD3+CD4+CD25hiFoxp3+)。
树突状细胞
真皮中的树突状细胞也有助于皮肤树突状细胞在遇到抗原后激活T细胞的能力。在20世纪80年代后期,皮肤免疫细胞首次使用凝血因子XIIIa (FXIIIA)标记。FXIIIA+细胞体积大,呈蓬松状,树突状分布于真皮各处,称为真皮树突状细胞。然而,近年来,识别这些树突状真皮细胞群的新抗体已经出现,包括识别间质树突状细胞群的αx整合素CD11c。鉴于CD11c可以识别具有不同表达水平的所有髓样细胞,因此寻求一种更特异性的皮肤DC标记。开发了一组血液树突细胞抗原(BDCA)抗体,其中BDCA-1(CD1c)和BDCA-3(CD141)识别出不同的循环髓样DCs。
巨噬细胞
皮肤巨噬细胞也可以产生许多介体和细胞因子。皮肤CD163+细胞具有巨噬细胞的电镜特征,并摄取纹身色素(不像BDCA-1+细胞),支持这些细胞的吞噬作用。鉴于健康的活巨噬细胞可能很难从皮肤中提取出来,因此对皮肤巨噬细胞的功能研究具有挑战性。尽管许多研究人员已将CD68用作巨噬细胞标记物,但它不如CD163能够识别皮肤巨噬细胞。因此,真皮中髓样细胞的主要种群是CD11c+ DC(BDCA-1+和BDCA-3+亚群)和CD163+巨噬细胞。

正常出现和发炎的牛皮癣皮肤的免疫细胞成分。(a)银屑病患者正常出现的非病变皮肤和(b)病变牛皮癣皮肤,(c)炎症过程中免疫细胞成分及其表面受体的示意图。
银屑病,又称牛皮癣,是一种常见的皮肤病,临床表现以红斑,鳞屑为主,全身均可发病,以头皮,四肢伸侧较为常见。

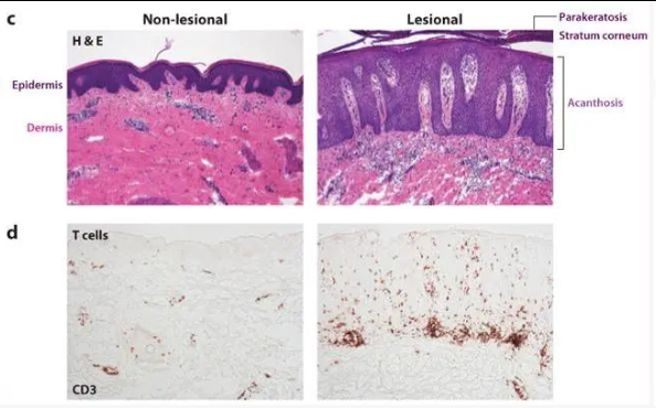
(c)非损伤和损伤性皮肤活检的组织学,在同一放大倍数下,苏木精伊红染色(H&E),细胞核染成蓝色。由于角质化细胞核的存在,表皮被看作是一个黑暗的层,并与下面粉红色的真皮形成波浪形的边界。真皮可见常驻结构细胞和免疫细胞细胞核。皮损性银屑病皮肤表现为表皮(棘皮)非常增厚,并延伸到真皮(网状隆起)。核保留(角化不全)可见于加厚的角质层。真皮细胞数量急剧增加,主要由DCs和T细胞组成。(d)在皮损性银屑病皮肤中可以看到CD3+ T细胞数量的增加,经常与DCs形成淋巴样簇。
IL-12和IL-23支持T细胞亚群的激活和分化,IL-12和IL-23主要由皮肤中的髓样DC亚群产生。牛皮癣病灶包含产生IFN-γ,IL-17和IL-22的T细胞。,大约80%的牛皮癣患者中,IL-17A或IL-17受体A亚基的阻断可以逆转牛皮癣的临床,组织学和分子特征。

引发和导致银屑病的途径。(a)早期疾病:咪喹莫特(IMQ)是一种TLR7激动剂,可以激活浆细胞样树突状细胞(pDC)产生干扰素(IFN)。LL37是一种源自抗菌肽的肽,可能在通过此途径引发牛皮癣病变中起重要作用。从角质形成细胞(KC)释放的LL37可以与核酸结合以激活pDC以释放IFN-α/β。LL37 / RNA复合物还可以激活驻留的髓样DC,从而产生IL-12和IL-23(关键的银屑病细胞因子)。(b)慢性疾病:当(I)成熟的真皮DC和炎性骨髓DC产生细胞因子(例如IL-23和IL-12)时,牛皮癣的主要致病途径就会发生。(II)这些细胞因子激活T17(Th17和Tc17),Th1和Th22细胞,从而促进细胞因子环境并进一步作用于角质形成细胞。(III)角质形成细胞可以产生趋化因子,而抗菌肽(AMPs)可以增强(IV)皮肤免疫反应。
多因子产品推荐

