优质文献分析
Pathology-Research and Practice

微卫星不稳定性,简称MSI,是早期癌症发生的一种关键机制,尤其在结直肠癌(CRC)和子宫内膜癌(EC)的发病过程中扮演了重要角色。近年来的研究已明确证实,MSI-H状态对于CRC和EC患者的预后判断、药物疗效预测以及林奇综合征筛查具有重大临床意义,正在实际临床诊断与治疗中发挥显著作用,为患者带来实质性获益。甚至有大量证据显示,MSI有望成为一种泛癌肿标志物。
今天,我们引介一篇由南方医科大学南方医院梁莉教授实验室发表在Pathology-Research and Practice上的文章,该文深入探讨了结直肠癌和子宫内膜癌中错配修复蛋白的异质性表达模式及其对免疫组织化学结果解释的影响。研究揭示了现有IHC解释标准在面对MMR蛋白复杂表达情况时的局限性,并提出进一步验证策略。

https://www.sciencedirect.com/science/article/pii/S0344033823003473?via%3Dihub
针对MSI的检测方法,作者评述道:“目前临床上主要采用免疫组织化学(IHC)、聚合酶链反应加毛细管电泳(PCR-CE)和下一代测序(NGS)这三种技术来评估端粒酶蛋白表达和微卫星不稳定状态。其中,IHC作为初级筛选工具;PCR-CE以其高准确性被誉为金标准,用于标准化位点检测;而NGS虽然能提供更全面的基因变异信息,但算法的不完美可能使其比PCR-CE更为复杂。”
值得注意的是,Promega公司作为PCR-CE检测方法学的翘楚,其产品已获得FDA批准,正在中国进行国家药品监督管理局(NMPA)创新医疗器械特别审批认定的审核,即将作为体外诊断试剂(IVD)上市。此外,Promega正携手默克、GSK,复宏汉霖等国内外大型药企,开展以MSI作为抗肿瘤药物伴随诊断试剂盒的研发项目。
下面我们为大家进一步介绍本文的一些重要的研究细节及数据结果,完整文章请浏览原文。
Findings
详解
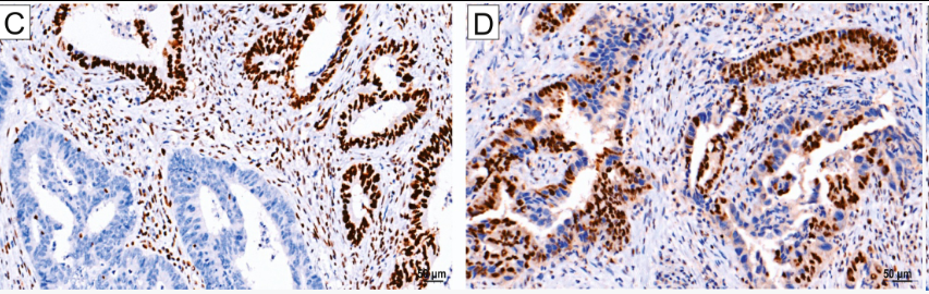
研究人员收集了1394例CRC和242例EC样本,通过MMR蛋白的免疫组织化学(IHC)检测,发现有78个样本存在异质性表达,其中49个来自CRC,29个来自EC。基于现有的IHC解释标准,将66个异质性表达的样本判定为pMMR,12个判定为dMMR。根据MMR蛋白表达的分布特征,有两种不同的异质性表达模式:一种是克隆异质性,即肿瘤细胞中的局部或多焦点表达如图C;另一种是嵌合异质性,即恶性腺体内的嵌合状表达如图D。

同时分析了pMMR样本中MMR蛋白的异质性表达模式。结果显示,在66个pMMR样本中,四种MMR蛋白同时异质性表达最为常见(22/66,33%),其次是MLH1/PMS2蛋白的异质性表达(9/66,14%),PMS2蛋白的异质性表达(8/66,12%),以及三种MMR蛋白同时异质性表达(6/66,9%)。所有12个dMMR样本均表现为嵌合状异质性表达。
进一步对6例具有克隆异质性表达的MMR蛋白的样本进行了PCR-CE,发现在3个CRC病例显示MSH6蛋白的孤立小灶性表达(如下图A、C、E),阳性肿瘤细胞数小于15%。根据现有的IHC解释标准这三种情况应被视为pMMR。然而,PCR-CE结果显示它们是MSI-H(如下图B,D,F),

这表明现有的IHC解释标准对于MMR蛋白的克隆异质性表达的情况是不准确的。此外,一例EC病例显示MSH6/MSH2的异质性表达,阳性率为80%,被证实为MSS,而另外两例MLH1/PMS2异质性表达65%和PMS2异质性表达58%的EC病例均被PCR-CE视为MSI-L。因此,对于具有小范围克隆异质性表达的MMR蛋白的样本,应怀疑其为MSI-H,并建议进一步进行PCR-CE或NGS检测。
Promega MSI检测技术
Promega 的MSI检测技术是全球领先的"金标准"级MSI检测技术,也是全球第一个商品化的 MSI检测系统。Promega MSI技术已经在临床研究中广泛使用了近20年,并被200多篇学术论文引用。比NGS相比 , Promega MSI技术更简单 , 成本更低,速度更快,是可负担的标准化方法,与 IHC-MMR检测相结合,可将灵敏度和特异性提高到近100%。
01
目前Promega的panel受到多版NCCN指南的明确推荐,同时拥有200多篇同行评审文章的验证。Promega的5位点试剂盒已于2021年获得美国FDA审批用于林奇综合征诊断筛查。并且与多家药厂合作开发其作为PD-1抑制剂用药的伴随诊断试剂。
02
Promega 的MSI 检测产品采用了5个单态单核苷酸重复微卫星位点设计,这也是美国国家癌症研究所 (NCI) 认可的设计。采用了一组对检测 MSI 状态更敏感而特异的位点,从而得到更精准的结果.
03
Promega可提供从样本制备到MSI检测的完整解决方案和文献列表。

1.Luchini, C., et al. Ann Oncol 8 30 1232-1243 2019.
2.Ishida, H., et al. Japanese Society for Cancer of the Colon and Rectum (JSCCR) Guidelines 2016 for the Clinical Practice of Hereditary Colorectal Cancer (Translated Version) 2018.
3.Ebi, H., et al. Cancer Sci 3962-3969 2019.
4.Referenced with permission from the NCCN Clinical Practice Guidelines in Oncology (NCCN Guidelines®) for Genetic/Familial High-Risk Assessment: Colorectal V.1.2022. © National Comprehensive Cancer Network, Inc. 2022. All rights reserved. Accessed July 20, 2022. To view the most recent and complete version of the guideline, visit www.nccn.org.
5.Mao et al. Genet Med 2021https://www.ncbi.nlm.nih.gov/pubmed/34140662.
6.Sepulveda, A. R., et al. Arch Pathol Lab Med 5 141 625-657 2017.
NCCN makes no warranties of any kind whatsoever regarding their content, use or application and disclaims any responsibility for their application or use in any way.
ABOUT PROMEGA
关于Promega公司
Promega公司是为生命科学行业提供创新型解决方案和技术支持的领导者。公司的产品组合达4000多种,可支持一系列生命科学工作,如细胞生物学;DNA、RNA和蛋白质分析;药物研发;人类身份鉴定和分子诊断。40多年来,这些工具和技术的应用不断发展,如今已被实验室的科学家和技术人员用于学术和政府研究、法医、制药、临床诊断以及农业和环境检测。Promega总部位于美国威斯康星州麦迪逊市,在16个国家设有分公司,在全球范围内拥有50多家经销商。更多信息请访问www.promega.com
普洛麦格(北京)生物技术有限公司
Promega (Beijing) Biotech Co., Ltd
公司地址丨北京市东城区北三环东路36号环球贸易中心B栋907-909室
公司电话丨010-58256268
公司网址丨www.promega.com.cn
公司邮箱丨mdx@promega.com.cn

